Get Complete Dental Care in Bengaluru
Wonderful services price good quick response
Isha Kapoor, 21 hours ago

We are just 5 minutes away - Get an Instant Callback
Your Journey to a Healthy Smile
We follow a structured and patient-friendly process to ensure the best dental care.
Get Instant Callback
Visit our clinic for a detailed dental checkup and consultation.
Treatment Planning
Our doctors explain the best treatment options tailored to you.
Prime Care & Smile Confidence
Receive attentive care and enjoy lasting dental health.
Our Dental Services
End-to-end dental treatments focused on comfort, care, and long-term oral health
Meet The Team Behind Your Smile
Top dentists committed to improving smiles through expert care and compassion

Dr. Sayona Swati Das
BDS, Fellowship in Implantology (ICOI)
Dr. Sayona Swati Das is a dedicated dental professional with specialized training in implantology. She focuses on delivering precise, patient-centered care with an emphasis on restoring function, aesthetics, and long-term oral health. Her clinical interests include dental implants, restorative dentistry, and comprehensive treatment planning tailored to individual patient needs.
Education & Certifications
- Bachelor of Dental Surgery (BDS)
- Fellowship in Implantology (ICOI)
- Clinical Experience in Restorative and Implant Dentistry
Specializations
Voices of Our Patients
Honest stories from patients who chose us for their dental care needs.
abhishek charag
I visited to emerald dental for my missing teeth ..Dr sayona have done implant and its so painless procedure …im so happy with the treatment
sanyam jain
Strongly Recommended visited for Root Canal Treatment bcoz my frd refer me and Dr.Sayona explain me very well and done my root canal painlessly,she experience knowledge and very good hand.
Payal Mamnani
Doctors at Emerald Clinic explain in detail the problem and the possibile solutions. And they are kind & compassionate during the treatment. Good experience with Dr. Ankita & Dr. Rana.
pradeep raturi
A positively genuine place to get your teeth in the place where it should be. Genuinely recommended for all👍
Shooter Joban
Thank you Dr.Sayona for tolerating me patiently and painless treatment very happy with treatment and professionalism
Shishir Jakhar
Visited for missing tooth dr Sayona suggested for Implant and with painless and very efficiently ☺️
AKSHAY SUDHIR
Emerald Dental impressed me with its top-notch dental care. The skilled and friendly staff made me feel at ease throughout my visit. The clinic's modern facilities and commitment to hygiene were evident. Driven by professionalism, they provided thoro...
Sukhwinder Singh Singh
Very professional and knowledgeable Dr.Sayona strongly recommended for Dental treatment 👍
Lb Ray
Very happy and satisfied with treatment and nice and hygienic embiance too..
Craig Pinto
Had a checkup here, Dr. Suchi explained very well, and tackled my doubts.
115+ people rated us 4.9 ⭐ on Google
Call Now: 1800 3090 830
4.9/5 Rating

5/5 Rating

4.9/5 Rating

5/5 Rating
Smile Transformations
See the real results achieved through our personalized dental treatments.
Smile Makeover
Smile enhancement achieved using custom-designed porcelain veneers
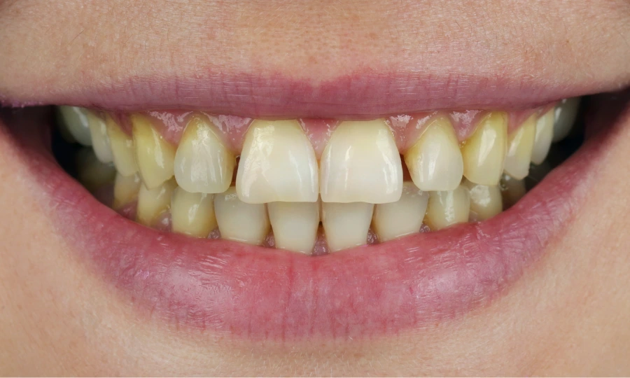
Teeth Whitening
Noticeable improvement in tooth shade with professional whitening care
Results may vary from patient to patient. These images represent real treatment outcomes. Request a callback to understand what results may be possible for your case.
Our Dental Care Space
View our thoughtfully designed clinic focused on hygiene, comfort, and technology.








Patient FAQs
Frequently asked questions about dental care, treatments, and appointments at Emerald Dental in Bengaluru. For more help, contact us at 1800 3090 830.
Why Emerald Dental is the Preferred Choice
Price (all inclusive)
Strict Hygiene & Sterilization protocols
Customized treatment plan
Easy to complex cases
Dedicated after-care support
No hidden charges
Painless & convenient
Do Not Ignore Your Dental Problems
Schedule your visit today and let our dental team identify and cure your dental problems.



